암 진단에서 치료예측까지, AI(인공지능)

Oct 07, 2019

By 엘리자베스 도허티(Elizabeth Dougherty)


암 진단에서 병리검사는 아주 중요한 역할을 해왔습니다. 지난 150년 동안 병리학자들은 암 진단을 위해 환자의 조직 검체 슬라이드를 현미경을 통해 분석해왔습니다. 하지만 환자의 조직 슬라이드에 존재하는 수십만 개의 세포 중, 소수의 세포만이 종양일 수 있기 때문에 병리검사를 통한 암 진단은 쉽지 않았습니다. 최근 발표된 논문에 따르면 병리검사의 암 오진율은 3%~9%에 이르는 것으로 알려져 있습니다.

인공지능(Artificial Intelligence, AI) 시스템은 보다 객관적인 시각으로 사람과 협업하여 진단 오류를 개선할 수 있습니다. 현재 인공지능의 잠재력에 관심을 갖고 다양한 기술 개발이 추진되고 있는데, 노바티스의 병리학자들은 병리조직 슬라이드에 환자의 치료 반응 여부를 예측할 수 있는 정보가 포함되어 있다는 가정 하에, 인공지능이 질병 진단뿐 아니라 특정 치료제에 대한 환자 반응을 예측하는 데에도 도움이 된다고 생각합니다. 이러한 아이디어는 노바티스의 병리학자, 데이터 과학자와 인공지능 스타트업 “PathAI” 와의 협업을 통해 검증되고 있습니다.

노바티스는 PathAI가 개발한 인공지능 시스템이 질병 진단 시 병리학자들이 관찰하는 병변 구조(패턴)를 인식하도록 교육하고, 이를 토대로 병변이 가려져 있거나 구조가 너무 복잡해 육안으로 확인하기 힘든 경우에도 병변 패턴을 인식할 수 있도록 교육하고 있습니다. 이는 노바티스가 신약 개발에 도움이 되는 데이터&디지털 기술투자를 통해 환자들이 신약의 혜택을 빨리 받을 수 있도록 하는 노력의 일환입니다.

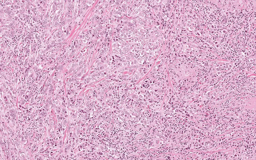
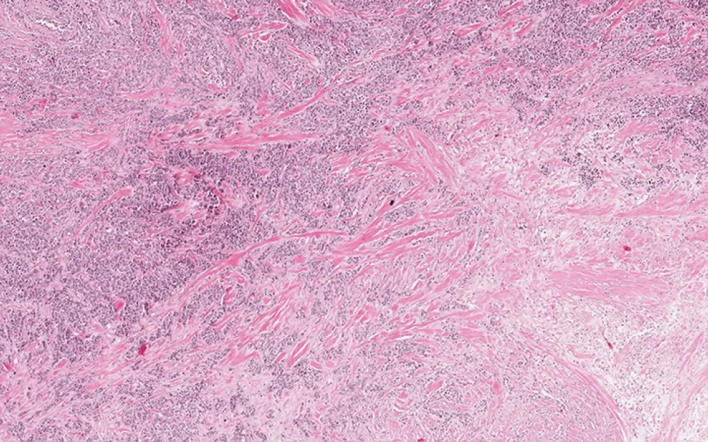
병리학자들은 조직 슬라이드의 세포들을 관찰하고, 암 진단을 위해 받은 수년간의 트레이닝에 의존하여 병변부위를 판독합니다.

PathAI 시스템을 교육할 때 제일 먼저 공동 연구팀은 치료받지 않은 환자의 조직 슬라이드를 보고 PathAI 시스템이 암이 의심되는 조직과 정상조직을 식별하고, 조직 슬라이드에 있는 여러 가지 세포의 유형을 구분하는 학습을 진행했습니다. 이러한 작업은 병리학자들에게 모래밭에서 바늘을 찾고, 모래알에 일일이 라벨을 붙이는 격입니다. 

세포 유형을 구분하는 작업은 항암요법이 암세포뿐 아니라 면역세포도 목표하도록 진화함에 따라 더욱 중요해졌습니다. 만일 컴퓨터가 슬라이드 전체를 한번에 분석하고 세포의 유형과 위치를 데이터화 할 수 있다면, 특정 치료제에 대한 환자의 민감도를 예측할 수 있는 조직 병리 구조를 발견할 수도 있습니다.  

노바티스 생명과학 연구소(Novartis Institutes for BioMedical Research, NIBR)의 종양 중개연구팀의 종양 병리학 및 바이오마커 그룹 이사이자 병리학자인 메그 맥로린(Meg McLaughlin)은 “(PathAI 시스템으로) 어떤 병변 구조가 치료제에 대한 민감도나 생존율과 연관되어 있는지 알아내고자 한다”고 말했습니다.

최근 암을 유발하는 돌연변이에 작용하는 “표적 치료제”를 포함해 다양하고 실험적인 면역치료법이 등장함에 따라, 환자 개개인에게 최적화된 치료법을 찾아내는 것이 신약 연구원들에게 가장 큰 도전 과제 중 하나입니다. 환자 맞춤형 치료를 결정하는 데에는 암과 밀접한 연관이 있는 유전자 분석 정보와 환자 조직 슬라이드의 정보가 활용됩니다. 미국 매사추세츠 주의 보스턴 시에 위치한 PathAI의 대표이자 컴퓨터 과학자이자 병리학자인 앤드류 벡(Andrew Beck)은 “병리학 분야에서 신약 개발 가속화를 지원할 수 있는 플랫폼을 구축하고 싶다”고 언급했습니다.

AI모델 교육법

스위스 바젤 대학 병원의 병리학 연구소와의 협업으로, 노바티스는 400개의 유방암/폐암 조직 슬라이드 이미지, 환자의 진단기록, 그리고 생존시간에 대한 익명의 데이터를 받았습니다.

PathAI 시스템의 과제는 이를 활용하여 슬라이드 이미지를 분석하고, 세포 유형을 식별하여 환자의 5년 생존율을 예측하는 것이었습니다.

 

이러한 과제를 해결하는 방법 중 하나는 인공지능 알고리즘에 데이터를 주입해 시스템이 스스로 학습하도록 하는 것입니다. 질병 진단을 하기 전 고도의 숙련된 병리학자와 달리, 기계는 세포나 종양에 대한 어떠한 사전 지식 없이 암 진단 및 예측을 시작하게 됩니다. 

“사람은 이미 많은 지식을 가지고 있습니다.” 병리 이미지 진단 안전성에 인공지능 활용 방안을 연구하기 위해 NIBR의 내부 그룹과 PathAI 프로젝트에 참여하고 있는 NIBR의 데이터 과학자 홀저 호플링(Holger Hoefling)이 말했습니다. "자율 자동차를 떠올려보세요. 자동차가 스스로 운전하게끔 훈련하려면 어마어마한 시간과 데이터가 들지만, 사람이 운전하도록 훈련하는 데에는 20시간이면 충분하지요.”

아직 숙련되지 않은 알고리즘에 트레이닝 데이터에 대한 더 많은 지식을 전달하기 위해 PathAI 팀은 시스템에 더 많은 데이터를 주입하기로 결정했습니다. 이를 위해 여럿의 병리학자들이 모여 병리 슬라이드를 분석하고, 분석 결과를 시스템에 제공하여 알고리즘이 더욱 풍부해지게 했습니다. 이러한 자료는 PathAI 시스템에게 어려운 문학작품에서 복잡한 구절을 설명해 주는 주석과 같은 역할을 합니다.

예를 들어, 알고리즘이 세포 유형 구분하는 것을 학습할 때, 병리학자들은 PathAI가 대략 10,000개로 작게 조각낸 트레이닝용 병리 슬라이드에 있는 모든 세포 유형을 라벨링 했습니다. 맥로린 박사는, "이 단계가 인공지능 시스템의 성능을 궁극적으로 결정짓기에, 각각의 병리 이미지에 어떻게 라벨링 할 것인지에 대해 깊이 고민해야 했다”고 했습니다. 

블랙 박스란 무엇입니까?

AI 전문가는 훈련된 알고리즘을 "블랙박스(black box)"라고 부릅니다. 왜냐하면 시스템이 훈련 데이터로부터 무엇을 배웠는지, 또는 시스템이 어떻게 의사 결정을 하는지 알기 어렵기 때문입니다. 블랙박스 안에는 기계 학습 알고리즘 모델이 있는데, 특정 구조와 같은 특징을 인식하기 위한 연속적인 공식들로 이루어져 있으며, 이러한 특징들을 환자가 실제로 얼마나 더 오래 생존했는지와 같은 실제 데이터와 연관시킵니다.

알고리즘이 점점 더 많은 이미지를 보게 됨에 따라, 알고리즘은 데이터에서 보이는 패턴에 대한 이해도를 조정합니다. 궁극적으로, 알고리즘은 병리 슬라이드에 있는 특정 패턴들이 “환자가 1년 생존한다” 든지, “6개월도 채 넘기지 못할 것이다”라는 등의 건강 결과를 예측한다는 것을 학습하게 됩니다. 

블랙박스의 접근방식은 데이터에 대해 새로운 시각을 갖고 예상치 못한 생물학적 패턴을 발견할 수 있습니다. 하지만 생물학적으로 무의미한 패턴을 찾아낼 수도 있어, 데이터 과학자들은 인공지능 모델의 결과를 면밀히 조사하고 의미 없는 결과물을 제외하여 인공지능 시스템의 알고리즘을 조정해야 합니다.

AI의 눈을 통해 본다는 것

PathAI 플랫폼 훈련이 끝나면, 사람들은 기계의 눈으로 판독한 병리학적 이미지를 볼 수 있습니다. 암으로 판명된 슬라이드 영역은 밝은 빨간색으로, 주변의 정상조직은 녹색으로 표시되고, 각기 다른 유형의 세포들은 접시에 놓인 형형색색의 사탕처럼 선명한 색으로 구별됩니다. 현재 PathAI 시스템은 연구용으로만 사용되고 있으며, 향후 의사들이 실제로 사용할 수 있는 응용프로그램 개발을 목표로 하고 있습니다.

병리학자들은 세포의 크기나 모양과 같은 시각적 요소를 통해 병리 슬라이드의 세포 유형을 구분합니다.

 

세포 유형 인식을 학습한 PathAI시스템은 병리 슬라이드의 세포를 구분하고 5가지의 색으로 표시합니다. - 림프구 (녹색), 종양세포 (적색), 대식세포 (황색), 형질세포 (흑색) 및 섬유아세포 (보라색)

 

PathAI 시스템이 병리학자와 비슷한 판독 능력을 가졌다는 잠재력을 보여준 연구자들은 이제 한 단계 더 나아가 병리학자들이 판독하기 어려운 이미지에 있는 정보가 무엇인지 연구하려 합니다. 예를 들어, 면역 세포 같은 특정 세포의 풍부한 분포가 환자의 면역요법 순응도와 연관이 있는지 등입니다. 이러한 연구를 사람의 육안으로 진행하고자 하면 1개의 병리 슬라이드에 있는 수만 개의 세포를 면밀하게 관찰해야 하는데, 이는 매우 피로도 높은 일입니다. 맥로린 박사는 물론 할 수 있지만 아주 오랜 시간이 걸릴 거라고 말합니다.

하지만 인공지능 기술을 활용하면 이러한 연구들이 가능합니다. 노바티스의 맥로린 박사와 그녀의 연구팀은 PathAI에게 병리 이미지와 암 환자의 생존기간 및 치료반응에 대한 노바티스의 최근 임상 데이터를 제공하고 있습니다. 이러한 데이터를 모으고 PathAI와 공유하는 일은 결코 쉬운 일이 아닙니다 – 슬라이드를 모으고 환자의 동의를 구하는 것 외에, 같은 기준으로 일관되게 의료진의 소견을 정리해야 하는데, 만일 각기 다른 병원에서 근무하는 여러 의료진의 소견을 수집해야 하는 경우 매우 어려운 작업이 될 수 있습니다.

"우리가 향해 가는 시대는 알고리즘보다 데이터에 더 밀접하게 연관되어 있습니다.”라고 미국 에머리 대학의 생의학 정보학 및 생체 공학 조교수 리 쿠퍼(Lee Cooper)는 말합니다. 쿠퍼 교수는 기계 학습을 통한 병리 이미지 판독의 전문가로, NIBR 연구원들과도 협력하고 있습니다. "알고리즘은 계속해서 정교화 될 것이고, 우리는 최상의 알고리즘을 구축하기 위한 데이터를 어떻게 만들어낼 것인가에 대해 실질적으로 고민해야 합니다."

데이터가 일단 준비되면, PathAI 시스템은 각 이미지에 주석을 달고, 그 후 이미지에 숨겨진 메시지를 판독하는 것은 PathAI에게 달려있습니다.

병리학자 앤드류 벡은, "만일 PathAI시스템이 그간 병리학자들이 분석할 수 없던 정보를 제공할 수 있다는 것을 보여준다면, 이는 우리에게 큰 잠재 가치를 가져다 줄 것입니다.”

비디오제작: 피제이 카스자스 (PJ Kaszas)
엘리자베스 도허티 (Elizabeth Dougherty)는 노바티스 생명과학 연구소(Novartis Institutes for BioMedical Research, NIBR)의 과학 에디터 입니다.

Nov 12, 2018