Skip to main content
Novartis
language-selector-globe
Choose Location
  • Americas
  • Asia Pacific
  • Europe
  • International
  • Middle East & Africa
Argentina | Español
Brazil | Português
Canada | English
Canada | Français
Andean & CAC | Español
Colombia | Español
Mexico | Español
United States | English
Australia | English
Hong Kong S.A.R. | 繁體中文
India | English
Indonesia | English
Japan | 日本語
Korea | 한국어
Mainland China | 中文
Malaysia | English
Philippines | English
Singapore | English
Taiwan | 繁體中文
Thailand | ภาษาไทย
Austria | Deutsch
Belgium | Français
Belgium | Nederlands
Bulgaria | Български
Czech Republic | Česky
Czech Republic | English
Denmark | Dansk
Estonia | Eesti
Finland | Suomalainen
France | Français
Germany | Deutsch
Greece | Ελληνικά
Hungary | Magyar
Ireland | English
Italy | Italiano
Latvia | Latvian
Lithuania | Lithuanian
Netherlands | Nederlands
Norway | Norsk
Poland | Polski
Portugal | Português
Romania | Română
Russia | Русский
Serbia | Srpski
Slovakia | Slovensky
Slovenia | Slovenščina
Slovenia | English
Spain | Español
Sweden | Svenska
Switzerland | Deutsch
Switzerland | Français
Türkiye | Türkçe
Ukraine | українська
United Kingdom | English
Global | English
Novartis Foundation | English
Egypt | English
Israel | עברית
Saudi Arabia | العربية
South Africa | English
language-selector-globe
Choose Location
Americas Asia Pacific Europe International Middle East & Africa
Argentina | Español
Australia | English
Austria | Deutsch
Belgium | Français
Belgium | Nederlands
Brazil | Português
Bulgaria | Български
Canada | English
Canada | Français
Andean & CAC | Español
Colombia | Español
Czech Republic | Česky
Czech Republic | English
Denmark | Dansk
Egypt | English
Estonia | Eesti
Finland | Suomalainen
France | Français
Germany | Deutsch
Greece | Ελληνικά
Hong Kong S.A.R. | 繁體中文
Hungary | Magyar
India | English
Indonesia | English
Ireland | English
Israel | עברית
Italy | Italiano
Japan | 日本語
Korea | 한국어
Latvia | Latvian
Lithuania | Lithuanian
Mainland China | 中文
Malaysia | English
Mexico | Español
Netherlands | Nederlands
Norway | Norsk
Global | English
Novartis Foundation | English
Philippines | English
Poland | Polski
Portugal | Português
Romania | Română
Russia | Русский
Saudi Arabia | العربية
Serbia | Srpski
Singapore | English
Slovakia | Slovensky
Slovenia | Slovenščina
Slovenia | English
South Africa | English
Spain | Español
Sweden | Svenska
Switzerland | Deutsch
Switzerland | Français
Taiwan | 繁體中文
Thailand | ภาษาไทย
Türkiye | Türkçe
Ukraine | українська
United Kingdom | English
United States | English
    • About 
      • Novartis in Malaysia 
      • Country Leadership Team 
      • Products 
      • Therapeutic Areas 
      • People and Culture 
      • Diversity, Equity and Inclusion 
      • Awards and Recognition 
      Novartis Malaysia
      About
    • Patients and caregivers 
      • Novartis Commitment to Patients and Caregivers 
      • Diseases 
      • Adverse Event Reporting 
      • Our Process 
      Patient and Doctor
      Patients and Caregivers
    • Healthcare professionals 
      • Healthcare professional country resource 
      • Novartis Pipeline 
      • Adverse Event Reporting 
      • Novartis Clinical Trials 
      A female doctor looking in the distance
      Healthcare Professionals
    • ESG 
      • Ethical Behavior 
        • Code of Ethics 
        • SpeakUp 
      • Ethics, Risk and Compliance 
      • Access 
      • Environmental Sustainability 
      • Global Health 
      Young patients waiting outside hospital in Rwanda
      ESG
    • News 
      • Stories 
      • News Archive 
      People at the table with screens
      News
    • Careers 
      • Career Search 
      • Meet the Teams 
      • Early Talent 
      • How We Work 
      • Wellbeing 
      Novartis Malaysia Office
      Careers
      Careers
    • Contact 
    Office Cubicle
    Contact Us

 

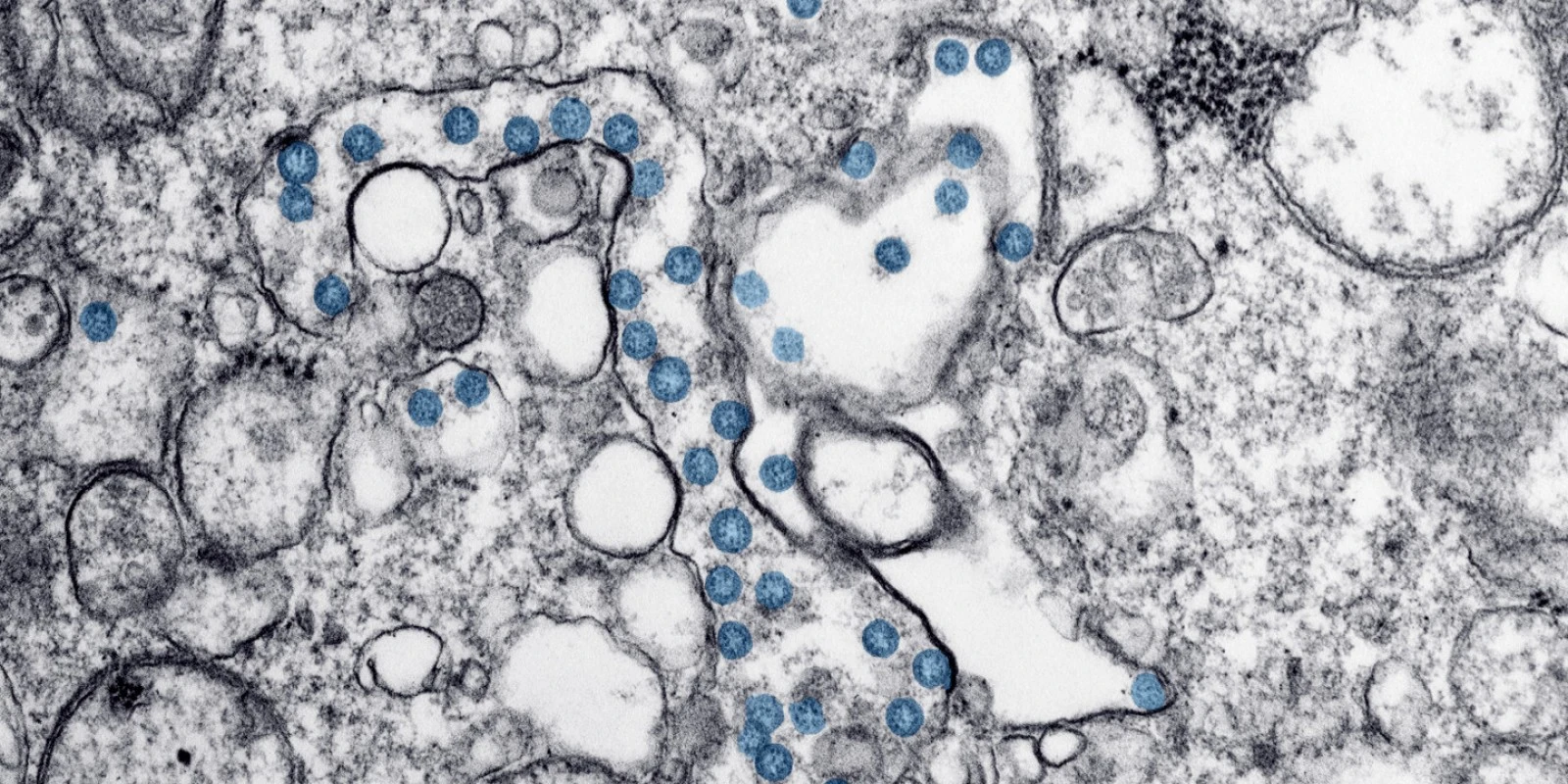
Transmission electron microscopic image of an isolate from a case of COVID-19

Novartis Malaysia news updates

28 April 2020: Novartis Malaysia announces broad range of initiatives to support the government in the fight against the COVID-19 pandemic

Other links

Novartis.com COVID-19 Information Center

Novartis.com Coronavirus news feed

ShareTweetShareWhatsappLinkedinEmail

Printable Links Block (Content)

  • Print
  • PDF

Novartis Malaysia

Navigate Novartis
  • Patients & Caregivers
  • Healthcare Professionals
  • ESG
  • News
  • Careers
Our Portfolio
  • Novartis Clinical Pipeline
  • Novartis Product Portfolio
Footer Bottom
© 2025 Novartis AG
  • Privacy Policy
  • Terms of Use
  • Cookie Settings
  • Site Map
  • Web Accessibility
Novartis Site Directory
This site is intended for an audience in Malaysia